おかげさまで開設25周年CERAMICAGROUP.AM 創業祭

CERAMICAGROUP.AM

詳しくはこちら
マイストア マイストア 変更
  • 即日配送
  • 広告
  • 取置可能
  • 店頭受取

HOT ! ポットマン様 yap-antibody-h-9-

※CERAMICAGROUP.AM 限定モデル
YouTuberの皆様に商品の使い心地などをご紹介いただいております!
紹介動画はこちら

ネット販売
価格(税込)

8990

  • コメリカード番号登録、コメリカードでお支払いで
    コメリポイント : 10ポイント獲得

コメリポイントについて

購入個数を減らす
購入個数を増やす

お店で受け取る お店で受け取る
(送料無料)

受け取り店舗:

お店を選ぶ

近くの店舗を確認する

納期目安:

13時までに注文→17時までにご用意

17時までに注文→翌朝までにご用意

受け取り方法・送料について

カートに入れる

配送する 配送する

納期目安:

2025.12.04 1:49頃のお届け予定です。

決済方法が、クレジット、代金引換の場合に限ります。その他の決済方法の場合はこちらをご確認ください。

※土・日・祝日の注文の場合や在庫状況によって、商品のお届けにお時間をいただく場合がございます。

即日出荷条件について

受け取り方法・送料について

カートに入れる

欲しいものリストに追加

欲しいものリストに追加されました

ポットマン様 yap-antibody-h-9-の詳細情報

yap-antibody-h-9-。YAP Antibody (H-9) | SCBT - Santa Cruz Biotechnology。ホットトイズ 1/6 アイアンマン マーク4(サブ-ゼロ フラクタル。⚠即購入、不可。⚠受け取り評価が出来ない方はご遠慮下さい。⚠取り引き経験0の方とのお取り引きは受け取り評価や取り引きメッセージの対応が出来ない方が多い為基本お断りさせて頂いております。⚠受注個数が限られていますので、予約がいっぱいになり次第販売を一時停止させて頂いております。再開出品の目安はお問い合わせ下さい。注文が混み合っている場合がありますので発送期間はお問い合わせ下さい。三つボタン変更はプラス1500円です。文字入れプラス1500円になります。赤川器物製作所18-8 深型 丸型キッチンポット 14cm (手無) 11014。コメント下さい!⚠値下げはしていません。。グラフィックボード・グラボ・ビデオカード ZOTAC GeForce GTX 1080 8G。⚠購入前、購入後の双方納得がいかないお取り引きは取り引き中でもキャンセルさせて頂きますので予めご了承下さい。【正規品】バーベナ 1本 ヌートレ 3本 ランプベルジェ 新品未使用。105 コンポーネント ロードバイク sti クランク。取り引き経験0でも受け取り評価や取り引きメッセージ等の対応がしっかり出来る方のみコメント下さい。O*O様 大谷翔平 ドジャース ビジターオーセンティックM 筆記体 NIKEタグ。TRINIDAD LEGACY 90%タングステン。予約が空き次第、個数限定で販売を再開致します。ASUS TUF GAMING Z690-PLUS D4 CPU付き。【動作確認済み】LG BP350 ブルーレイディスクプレーヤー 2023年製。・・・・・・・・・・・・・・・・・・・・・・【商品説明】鏡面仕上げしていますご購入お支払い頂いてから1週間前後 程の発送になります。Y-3 フード付きジャケット adidas YOHJI YAMAMOTO。超美品✨ バカラ レッド ロック クリスタル ネックレス ペンダント チョーカー。(混み具合により発送期間の変動あり)三つボタンではありません!マジックテープです。北海道日本ハムファイターズ 水谷瞬 ユニフォーム。グラフィックボード・グラボ・ビデオカード MSI RADEON RX6750XT 12G OC。コメント下さいコルク半のオーダー他、文字入れやデザインのお色などご希望がありましたらお聞きしますので気軽にお問い合わせ下さい半キャップに同じデザインの塗装も可能です!少しお安くなりますのでコメント下さい。か*ず様 大谷翔平 ドジャース ビジターオーセンティックユニフォーム M NIK。K18イエローゴールド ルビーハートシェイブネックレス。縁取りは取り扱いしていません単色のみの承りになります受け取り評価が困難な方はご遠慮下さいプロフィールをお読みになった上でお買い求め下さい!
  • yap-antibody-h-9-
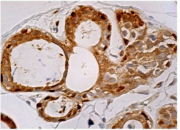
  • YAP Antibody (H-9) | SCBT - Santa Cruz Biotechnology
  • ホットトイズ 1/6 アイアンマン マーク4(サブ-ゼロ フラクタル
  • 赤川器物製作所18-8 深型 丸型キッチンポット 14cm (手無) 11014

同じカテゴリの 商品を探す

ベストセラーランキングです

このカテゴリをもっと見る

この商品を見た人はこんな商品も見ています

近くの売り場の商品

このカテゴリをもっと見る

カスタマーレビュー

オススメ度  4点

現在、3120件のレビューが投稿されています。